Жил был пёс, – так можно было бы начать эту историю, но в данном случае больше подходит, не жил, а существовал.
Худой, сгорбленный, пугливый щенок появился около кафе “Т.Чинофф”. Никто не знает: то ли его подбросили, то ли сам пришёл на запах еды.
Сотрудники понимали, что остаться он не может, но не могли оставить пса голодным – и подкармливали. Пытаясь решить судьбу собачки, они разместили объявление о поиске дома, но откликов не было.



Так и продолжал прибегать уже окрепший щенок за едой и человеческой лаской. Хвостатый оказался славным и очень сообразительным малым. Погода позволяла жить на улице, а еда всегда была. Казалось бы, жизнь у пса наладилась, но всё не так просто.
В один из дней он не прибежал, как обычно, в поисках еды. Сутки его не было. Коллектив надеялся, что, возможно, он просто нашёл себе другой приют, но сердце было не на месте, и его пытались искать. Нашли в лесу через дорогу раненым. По всей видимости, его сбила машина, и он просто умирал. Увидев знакомых людей, он из последних сил попытался поприветствовать вилянием хвоста.
Лечить нельзя усыпить. Где же поставить запятую?
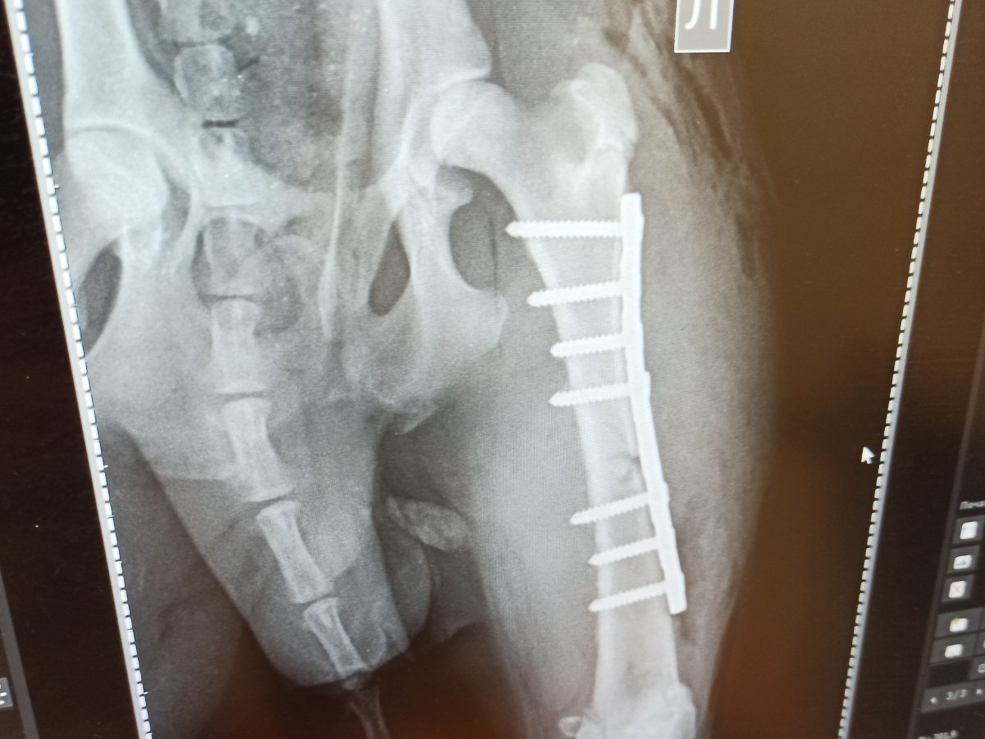
Судя по травмам, самым гуманным решением казалась эвтаназия. Но коллектив вместе с руководством заведения решил, что нельзя так быстро сдаваться и нужно спасть бедолагу, поэтому повезли страдальца в Слуцк на рентген. После проведения обследования было решено, что нужна дорогостоящая операция, которую делают только в Минске.
Коллектив вместе с руководством и родственниками собрали необходимую сумму и сделали операцию, поставив титановую пластину.



Узнав об этой истории, мы связались с руководством “Т.Чинофф”:
– Да, история верна. Он прибился к нам около месяца назад и очаровал всех. Когда с псом случилась беда, подключились моя сестра, коллектив, и все решили, что нужно спасать. Свозили в Слуцк, а потом и в Минск. Сразу сказали, что лечение будет стоить от 400 рублей. В итоге сумма вышла около 800 рублей. Операцию делали в клинике "Девять Жизней". Очень благодарны врачу, который согласился внепланово прооперировать, – поделился собеседник, удивившись, откуда журналисты узнали об этой истории.
Жизнь продолжается
Как сказали ветеринары, псу около восьми месяцев, вес - 14 килограммов. Молодой возраст даёт осторожную надежду на то, что с травмой организм справится. Сейчас он в надёжных руках, назвали Гарри.
– Такие пациенты запоминаются особенно, - говорит директор ветклиники Алексей Клянцевич. - Случай оказался не из простых, но с Гарри всё должно быть хорошо - операцию делал один из лучших ветеринарных хирургов страны Андрей Балюк. Радует, когда такие уличные бедолаги встречают неравнодушных людей. В "Девять Жизней" нередко привозят зверушек из Солигорска с тяжёлыми ситуациями, чаще это выставочные породы или питомцы со стажем, так что история действительно не рядовая.



Гарри уже встаёт на лапу, пока что хромает, но на месте ему не сидится. Он продолжает покорять людские сердца своей сообразительностью и любовью к обнимашкам.



Такая вот счастливая история одного бездомного пса. На самом деле, их гораздо больше – когда люди, не афишируя, помогают братьям нашим меньшим. И, как говорил Иммануил Кант, мы можем судить о характере человека по его отношению к животным.
Отдел новостей “Электронного Солигорска”
В каких населенных пунктах Солигорского района не будет электричества на этой неделе?
Зиму проводили, чучело сожгли, блины разобрали. Как в Солигорске прошла Масленица